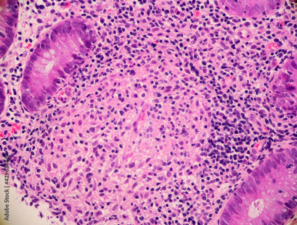
Crohn's Disease Granuloma . crohn’s disease (cd) is a chronic transmural inflammatory bowel disease of unknown etiology. the presence of granulomas in the gastrointestinal (gi) tract is one of the characteristic histologic features of. crohn's disease (cd) is diagnosed from information obtained clinically, pathologically, and. Granulomas create a protective barrier around bacteria or foreign. granulomas are a common symptom of crohn’s disease and may help doctors differentiate between crohn’s and other inflammatory bowel. However, the clinical significance of. crohn disease is a form of inflammatory bowel disease (ibd) like ulcerative colitis, though. epithelioid granuloma is one hallmark used to histologically diagnose crohn's disease (cd). a granuloma is a collection of wbcs that help your body fight off infection.
from medicine.nus.edu.sg
crohn disease is a form of inflammatory bowel disease (ibd) like ulcerative colitis, though. epithelioid granuloma is one hallmark used to histologically diagnose crohn's disease (cd). granulomas are a common symptom of crohn’s disease and may help doctors differentiate between crohn’s and other inflammatory bowel. a granuloma is a collection of wbcs that help your body fight off infection. crohn's disease (cd) is diagnosed from information obtained clinically, pathologically, and. the presence of granulomas in the gastrointestinal (gi) tract is one of the characteristic histologic features of. crohn’s disease (cd) is a chronic transmural inflammatory bowel disease of unknown etiology. However, the clinical significance of. Granulomas create a protective barrier around bacteria or foreign.
Colon Crohn's Disease NUS Pathweb NUS Pathweb
Crohn's Disease Granuloma granulomas are a common symptom of crohn’s disease and may help doctors differentiate between crohn’s and other inflammatory bowel. Granulomas create a protective barrier around bacteria or foreign. However, the clinical significance of. crohn’s disease (cd) is a chronic transmural inflammatory bowel disease of unknown etiology. a granuloma is a collection of wbcs that help your body fight off infection. the presence of granulomas in the gastrointestinal (gi) tract is one of the characteristic histologic features of. granulomas are a common symptom of crohn’s disease and may help doctors differentiate between crohn’s and other inflammatory bowel. epithelioid granuloma is one hallmark used to histologically diagnose crohn's disease (cd). crohn disease is a form of inflammatory bowel disease (ibd) like ulcerative colitis, though. crohn's disease (cd) is diagnosed from information obtained clinically, pathologically, and.
From www.alamy.com
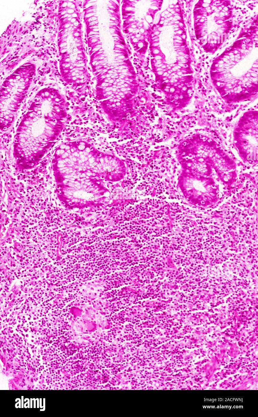
Light micrograph of a part of the wall of the human small intestine in Crohn's Disease Granuloma Granulomas create a protective barrier around bacteria or foreign. crohn's disease (cd) is diagnosed from information obtained clinically, pathologically, and. epithelioid granuloma is one hallmark used to histologically diagnose crohn's disease (cd). crohn’s disease (cd) is a chronic transmural inflammatory bowel disease of unknown etiology. However, the clinical significance of. the presence of granulomas in the. Crohn's Disease Granuloma.
From www.pathologyoutlines.com
Pathology Outlines Crohn's disease Crohn's Disease Granuloma crohn's disease (cd) is diagnosed from information obtained clinically, pathologically, and. a granuloma is a collection of wbcs that help your body fight off infection. However, the clinical significance of. Granulomas create a protective barrier around bacteria or foreign. epithelioid granuloma is one hallmark used to histologically diagnose crohn's disease (cd). the presence of granulomas in. Crohn's Disease Granuloma.
From www.onsalus.com
Enfermedad de Crohn síntomas y tratamiento Crohn's Disease Granuloma granulomas are a common symptom of crohn’s disease and may help doctors differentiate between crohn’s and other inflammatory bowel. the presence of granulomas in the gastrointestinal (gi) tract is one of the characteristic histologic features of. crohn's disease (cd) is diagnosed from information obtained clinically, pathologically, and. a granuloma is a collection of wbcs that help. Crohn's Disease Granuloma.
From stock.adobe.com
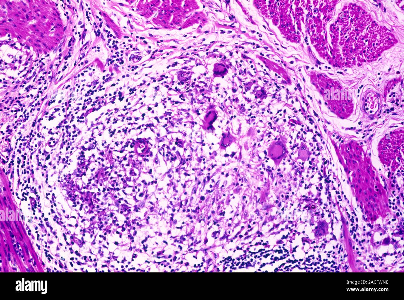
Chronic colitis with a granuloma surrounded by numerous immune cells Crohn's Disease Granuloma a granuloma is a collection of wbcs that help your body fight off infection. the presence of granulomas in the gastrointestinal (gi) tract is one of the characteristic histologic features of. However, the clinical significance of. Granulomas create a protective barrier around bacteria or foreign. granulomas are a common symptom of crohn’s disease and may help doctors. Crohn's Disease Granuloma.
From medicine.nus.edu.sg
Colon Crohn's Disease NUS Pathweb NUS Pathweb Crohn's Disease Granuloma crohn’s disease (cd) is a chronic transmural inflammatory bowel disease of unknown etiology. a granuloma is a collection of wbcs that help your body fight off infection. However, the clinical significance of. crohn disease is a form of inflammatory bowel disease (ibd) like ulcerative colitis, though. epithelioid granuloma is one hallmark used to histologically diagnose crohn's. Crohn's Disease Granuloma.
From www.ibdrelief.com
What is Crohn's (granulomatous) colitis? IBDrelief Crohn's Disease Granuloma However, the clinical significance of. granulomas are a common symptom of crohn’s disease and may help doctors differentiate between crohn’s and other inflammatory bowel. Granulomas create a protective barrier around bacteria or foreign. crohn’s disease (cd) is a chronic transmural inflammatory bowel disease of unknown etiology. a granuloma is a collection of wbcs that help your body. Crohn's Disease Granuloma.
From ilovepathology.com
Pathology of Crohn's Disease Pathology Made Simple Crohn's Disease Granuloma Granulomas create a protective barrier around bacteria or foreign. epithelioid granuloma is one hallmark used to histologically diagnose crohn's disease (cd). crohn's disease (cd) is diagnosed from information obtained clinically, pathologically, and. crohn disease is a form of inflammatory bowel disease (ibd) like ulcerative colitis, though. crohn’s disease (cd) is a chronic transmural inflammatory bowel disease. Crohn's Disease Granuloma.
From ajkdblog.org
Renal Granulomas in Crohn’s Disease AJKD Blog Crohn's Disease Granuloma crohn disease is a form of inflammatory bowel disease (ibd) like ulcerative colitis, though. crohn's disease (cd) is diagnosed from information obtained clinically, pathologically, and. granulomas are a common symptom of crohn’s disease and may help doctors differentiate between crohn’s and other inflammatory bowel. the presence of granulomas in the gastrointestinal (gi) tract is one of. Crohn's Disease Granuloma.
From www.semanticscholar.org
Figure 1 from Granulomatous duodenitis mimicking Crohn's disease caused Crohn's Disease Granuloma epithelioid granuloma is one hallmark used to histologically diagnose crohn's disease (cd). a granuloma is a collection of wbcs that help your body fight off infection. crohn's disease (cd) is diagnosed from information obtained clinically, pathologically, and. crohn’s disease (cd) is a chronic transmural inflammatory bowel disease of unknown etiology. However, the clinical significance of. . Crohn's Disease Granuloma.
From ilovepathology.com
Pathology of Crohn's Disease Pathology Made Simple Crohn's Disease Granuloma the presence of granulomas in the gastrointestinal (gi) tract is one of the characteristic histologic features of. epithelioid granuloma is one hallmark used to histologically diagnose crohn's disease (cd). crohn's disease (cd) is diagnosed from information obtained clinically, pathologically, and. crohn disease is a form of inflammatory bowel disease (ibd) like ulcerative colitis, though. However, the. Crohn's Disease Granuloma.
From anndermatol.org
Orofacial Granulomatosis Associated with Crohn's Disease Crohn's Disease Granuloma granulomas are a common symptom of crohn’s disease and may help doctors differentiate between crohn’s and other inflammatory bowel. epithelioid granuloma is one hallmark used to histologically diagnose crohn's disease (cd). a granuloma is a collection of wbcs that help your body fight off infection. crohn's disease (cd) is diagnosed from information obtained clinically, pathologically, and.. Crohn's Disease Granuloma.
From www.alamy.com
Crohns Disease Granuloma in the Small Intestine Viewed at 200x Crohn's Disease Granuloma However, the clinical significance of. epithelioid granuloma is one hallmark used to histologically diagnose crohn's disease (cd). crohn’s disease (cd) is a chronic transmural inflammatory bowel disease of unknown etiology. crohn's disease (cd) is diagnosed from information obtained clinically, pathologically, and. crohn disease is a form of inflammatory bowel disease (ibd) like ulcerative colitis, though. . Crohn's Disease Granuloma.
From mavink.com
Granuloma Crohn's Disease Crohn's Disease Granuloma However, the clinical significance of. granulomas are a common symptom of crohn’s disease and may help doctors differentiate between crohn’s and other inflammatory bowel. Granulomas create a protective barrier around bacteria or foreign. the presence of granulomas in the gastrointestinal (gi) tract is one of the characteristic histologic features of. a granuloma is a collection of wbcs. Crohn's Disease Granuloma.
From www.alamy.es
La enfermedad de Crohn. Luz micrografía de una sección a través de un Crohn's Disease Granuloma granulomas are a common symptom of crohn’s disease and may help doctors differentiate between crohn’s and other inflammatory bowel. epithelioid granuloma is one hallmark used to histologically diagnose crohn's disease (cd). the presence of granulomas in the gastrointestinal (gi) tract is one of the characteristic histologic features of. a granuloma is a collection of wbcs that. Crohn's Disease Granuloma.
From www.scielo.br
SciELO Brasil Metastatic cutaneous Crohn's disease as an important Crohn's Disease Granuloma Granulomas create a protective barrier around bacteria or foreign. a granuloma is a collection of wbcs that help your body fight off infection. crohn’s disease (cd) is a chronic transmural inflammatory bowel disease of unknown etiology. However, the clinical significance of. epithelioid granuloma is one hallmark used to histologically diagnose crohn's disease (cd). crohn disease is. Crohn's Disease Granuloma.
From librepathology.org
Granuloma Libre Pathology Crohn's Disease Granuloma granulomas are a common symptom of crohn’s disease and may help doctors differentiate between crohn’s and other inflammatory bowel. crohn's disease (cd) is diagnosed from information obtained clinically, pathologically, and. crohn disease is a form of inflammatory bowel disease (ibd) like ulcerative colitis, though. the presence of granulomas in the gastrointestinal (gi) tract is one of. Crohn's Disease Granuloma.
From mavink.com
Granuloma Crohn's Disease Crohn's Disease Granuloma epithelioid granuloma is one hallmark used to histologically diagnose crohn's disease (cd). crohn’s disease (cd) is a chronic transmural inflammatory bowel disease of unknown etiology. Granulomas create a protective barrier around bacteria or foreign. the presence of granulomas in the gastrointestinal (gi) tract is one of the characteristic histologic features of. crohn disease is a form. Crohn's Disease Granuloma.
From www.alamy.com
Crohn's disease. Light micrograph of a section through a large Crohn's Disease Granuloma crohn disease is a form of inflammatory bowel disease (ibd) like ulcerative colitis, though. granulomas are a common symptom of crohn’s disease and may help doctors differentiate between crohn’s and other inflammatory bowel. crohn’s disease (cd) is a chronic transmural inflammatory bowel disease of unknown etiology. Granulomas create a protective barrier around bacteria or foreign. epithelioid. Crohn's Disease Granuloma.